Why Orthodontics?
Orthodontics, the branch of dentistry concerned with the growth and harmony of the teeth, jaws and face.
The Benefits of orthodontic treatment include:
Orthodontics, the branch of dentistry concerned with the growth and harmony of the teeth, jaws and face.
The Benefits of orthodontic treatment include:
Removal of dental crowding or closing spaces
Alignment of the upper and lower dental arches
Correction of the bite of the teeth so that the front teeth meet on closing and the back teeth mesh together
Reducing the likelihood of damage to prominent teeth
Enhancing facial aesthetics
Accommodating impacted, unerupted or displaced teeth
Preparation for advanced dental treatment, such as crowns, bridges or dental implants
Reversing the drifting of the teeth in older patients who have suffered from advanced gum disease
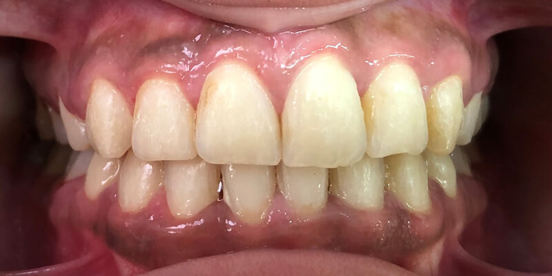
Protruding upper front teeth
One of the most common dental problems, or short bottom jaw.
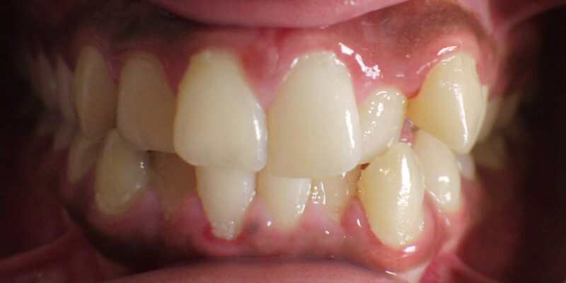
Crowding
A narrow jaw may mean there is not enough room for your teeth, resulting in crowding. Conversely, some patients have significant gaps between their teeth.
Asymmetry
Particularly when the centre lines of the upper and lower front teeth do not match, perhaps because the teeth have drifted or the position of the jaw has shifted.
A deep bite
When your upper teeth cover the lower teeth too much, a jaw growth problem
A reverse bite
When your upper teeth bite inside the lower teeth, long lower jaw.
An open bite
When your front teeth remain apart when your back teeth meet; the tongue is often still visible between the upper and lower front teeth, may be associated with a long face or habits like thumbsucking
Impacted teeth
In some patients, secondary teeth come through in the wrong position or do not erupt at all. Orthodontic treatment can help bring these teeth into the correct position
Fixed braces.
Conventional metal and clear braces, ‘train track’ braces. Metal braces are the most common type of braces used. Clear braces are sometimes requested by adult patients.
Lingual braces.
Fit on the inside of the teeth. The brace encroaches on the tongue space and causes soreness to the tongue, and difficulty in speaking. The cost of these braces is considerably more reflecting the high laboratory costs and the increased surgery time to adjust theses braces.
Self-ligation braces.
Each bracket has a metal clip to hold the wire, instead of using a coloured elastic. There is no evidence that this brace produces superior results as compared to the normal brace. Some clinicians will make absurd claims regarding this type of brace and patients need to be aware of this
Removable braces
Example: Functional braces









